Heimarbeit

Nach fast zwei Wochen siechem herumlungern und Fuß hochlegen befand ich es an der Zeit, meinem Arbeitgeber wieder etwas mehr Zeit zu widmen, zumal bei der Ausübung meiner überwiegend sitzenden Tätigkeit eine uneingeschränkte körperliche Bewegungsfähigkeit zwar erfreulich, nicht jedoch zwingend erforderlich ist. Daher beschloss ich, zunächst zwei Tage lang von zu Hause aus zu arbeiten, ,Home Office‘ zu machen, wie es so unschön heißt, wobei dieser Begriff ja schon ein krasser Widerspruch in sich ist, etwa so wie Ostwestfalen.

Nach einem Arzttermin am Vormittag begab ich mich also aufs Sofa, so wie an den Tagen zuvor auch, nur statt mich in erfreulicher Lektüre zu ergehen, schaltete ich den dienstlichen Rechner ein. Ich gebe zu: ich hatte es mir wesentlich schwieriger vorgestellt, den Ablenkungen häuslicher Umgebung, gepaart mit fehlender cheflich-kollegialer Beobachtung zu widerstehen. Dabei waren die Verlockungen zahlreich – Zeitung lesen, mal kurz ins Internet, die Spülmaschine ausräumen, Wäsche zusammenlegen, endlich mit dem Schreiben meines Bestsellers beginnen, eine neue Frisur ausprobieren und wieder verwerfen, Fotoalben sortieren, lästige Überweisungen tätigen, zwei bis drei Gedichte auswendig lernen, ein Nickerchen halten, den Staub aus den Lamellen der Designer-Wohnzimmerlampe entfernen. (Gut, das mit dem Nickerchen habe ich tatsächlich gemacht.) Trotz vorstehender Reize lief es erstaunlich gut: ungestört von Telefon und Kollegen, die plötzlich in der Tür stehen und was wollen, etwa eine Auskunft oder einen Plausch halten, bekam ich einiges geschafft.

Dem Vernehmen nach bevorzugen vor allem junge Erwerbstätige zunehmend diese Form der Arbeit – zeitlich und örtlich flexibel, zu Hause, in der Wanne, so sie eine haben, in der Dusche eher selten, im Park, im Café, in der Sauna, bei Gassigehen und Liebesspiel; auch nachts und am Sonntag vor und nach Tatort. Gerade freischaffend tätige ,Freelancer‘ (nein, ich gebrauche jetzt nicht das Wort ,neudeutsch‘, denn es ist weder neu noch deutsch), Leute also, die davon leben, dass sie etwa Nordseekrabben pulen, sich lustige Werbung ausdenken, irgendwas mit Medien machen oder für Auftraggeber Texte verfassen. Da mein Geschreibsel sich nicht eignet, Geld damit zu verdienen, halte ich meinem Arbeitgeber die Treue, von Montag bis Freitag, von morgens bis zum frühen Abend, und zwar am liebsten im Büro, so absurd es manchem auch erscheinen mag, täglich mehrere Stunden mit vielen Menschen in einem großen Bürogebäude zu verbringen.

Ja, nennen Sie mich altbacken, aber ich bevorzuge es, mich zum Zwecke des Brot-, Bier- und Bucherwerbs morgens mit einem Anzug zu kleiden, mich mit fremden, mürrischen Menschen in die Stadtbahn zu quetschen und mittags mit den Kollegen in die Kantine zu gehen. Das schöne daran ist nämlich: Es gibt meinem Tag Struktur, und wenn mich das Gebäude abends wieder ausspuckt, schüttle ich den Arbeitstag ab wie ein nasser Hund das Wasser aus dem zotteligen Fell, klopfe einige imaginäre Krümel von den Schultern, und dann ist Feierabend, aber richtig. Oder Wochenende. Oder Urlaub.

Fazit – ein bis zwei Tage Heimarbeit kann ich mal machen, sie hat gewisse Vorzüge. Dennoch, und ich hätte nie gedacht, mal einen solchen Satz zu schreiben: Ich freue mich, bald wieder ins Büro gehen zu können.

Für immer dein

Wir haben uns getrennt, warum, weiß ich nicht. Trotzdem wohnen wir immer noch zusammen in dieser Wohnung. Ich bin jetzt mit diesem blonden jungen Typen zusammen, Bernd oder Guido oder was weiß ich wie der heißt; wir knutschen wild verliebt auf dem Sofa, während du daneben sitzt. Es fühlt sich so falsch an, ich will das nicht, ich will dich zurück.

Ich wache auf, draußen ist es noch dunkel, du liegst neben mir, dein regelmäßiger Atem erfüllt die Stille. Du bis da, bei mir. Glücklich schlafe ich wieder ein. Träume können so scheiße sein. Und doch so schön, wenn man im richtigen Moment aufwacht.

Jetzt aber: 20 Stöckchen. Und 11 Fragen

Wie am Montag angekündigt, ergreife ich nun das Stöckchen, das jemand hat liegen lassen, und verrate Ihnen zwanzig völlig irrelevante Tatsachen über mich. Im Anschluss erlaube ich mir meinerseits, ein Stöckchen auszulegen. Greifen Sie zu!

***

1) Der Anblick einer Dampflokomotive lässt mein Herz höher schlagen.

2) Küsschen-links-Küsschen-rechts zur Begrüßung finde ich extrem affig. Besonders die Franzosen sind in dieser Hinsicht sehr anstrengend.
Meinetwegen betrachten Sie mich als reserviert, ich mag es einfach nicht.

3) Ich war noch niemals im Skiurlaub, und daran wird sich auch nichts ändern.

4) Ich war noch niemals in Paris, und das muss sich ändern.

5) Mit 17 habe ich angefangen, Zigarillos zu rauchen. Zigaretten erst mit 40. Ich rauche nicht viel, aber wenn dann gerne, es geht auch problemlos tagelang ohne.

6) Seit meinem 18. Lebensjahr schreibe ich regelmäßig Tagebuch, und zwar in selbst beigebrachter Sütterlin-Schreibschrift, damit es niemand lesen kann.

7) Ich besitze noch fast alle meine selbst im Radio aufgenommenen Musikkassetten.

8) Seit jeher benutze ich Stofftaschentücher. Außer bei starkem Schnupfen.

9) Als kleines Kind hatte ich wallende lockige Haare, die gleichaltrige Nachbarstochter ganz kurze. Wenn wir zusammen spielten, war ich das Mädchen und sie der Junge.

10) Mit 28 war ich zum ersten Mal in einem Darkroom. Ich fand es – obwohl nichts passierte – ganz schrecklich und musste sofort wieder raus. Das hat sich heute etwas gelegt.

11) Die Armbanduhr trage ich rechts, obwohl ich Rechtshänder bin. Mir wollte nie einleuchten, warum man sie dann links trägt.

12) Meine Lieblingsfigur in der Sesamstraße war Oskar in der Mülltonne. Zum Glück war ich dem Sesamstraßenalter entwachsen, als Samson und Tiffy das Sagen hatten; die fand ich unerträglich.

13) Ich hatte schon mal eine sprechende Rolle beim RTL-Strafgericht. Zum Glück ist davon nichts im Netz zu finden, glaube ich. Hoffe ich.

14) Ich habe die Abiturrede meines Jahrgangs geschrieben und gehalten, obwohl ich nicht der Jahrgangssprecher war. Sie kam sehr gut an. Leider ist sie verschollen.

15) Meine Auftritte beim „Rosenkrieg“, dem Bonner Poetry Slam, waren dagegen desaströs. Das werden ich vorläufig nicht wieder tun.

16) Mein Zweitname laut Personalausweis und Geburtsurkunde ist Rainer. Mein älterer Bruder wollte unbedingt, dass ich so heiße, weil ein Freund von ihm so hieß. Daher einigten sich Eltern und Bruder auf diesen Kompromiss. Ich bin meinen Eltern dankbar.

17) Seit jeher sage und schreibe ich „kucken“ statt „gucken“, warum, weiß ich nicht. Vielleicht weil der Vogel Kuckuck heißt, außer im Großraum Dresden. Auch wenn ich des öfteren auf diesen vermeintlichen Fehler aufmerksam gemacht werde: laut Duden darf man das.

18) Wenn ich alleine bin, neige ich zu Selbstgesprächen, oft völlig sinnloses Zeug. Peinlich wird es, wenn ich nur g l a u b e, allein zu sein.

19) Ich mag keine eBooks, obwohl ich schon selbst zwei bei Amazon Kindle veröffentlicht habe. Für mich muss ein Buch aus Papier sein, da bin ich altmodisch. Immerhin: die Tageszeitung beziehe ich inzwischen ausschließlich als ePaper, wegen der Mengen an Altpapier.

20) Fernsehen langweilt mich in der Regel sehr. Deshalb kann ich auch nicht mitreden, wenn es um irgendwelche Serien geht. Ausnahme: Downton Abbey, ich liebe es. Sarah O‘Brian würde ich heiraten.

***

Nachdem Sie nun also fast alles über mich wissen, so fern Sie nichts besseres zu tun hatten, als das zu lesen, darf ich Sie bitten, die nachfolgenden elf Fragen zu beantworten:

1) Wie schlimm wäre es für dich, wenn das Internet eine Woche lang ausfallen würde?

2) Was könntest du eher entbehren: Sex oder Internet?

3) Kannst du dir vorstellen, in einem Porno mitzuwirken?

4) Wie wichtig ist es dir, zu reisen?

5) Twitter oder Facebook? Warum?

6) Glaubst du, dass man Sex und Liebe trennen kann?

7) Wie definierst du Treue?

8) Bist du demnach treu?

9) Bist du der Meinung, dass ein Seitensprung zwangsläufig das Ende der Beziehung sein muss?

10) Rasierst du dich regelmäßig? Wenn ja: wo und warum?

11) Bist du tätowiert? Wenn ja, wo?

Für einen Kommentar nach Beantwortung mit Verweis auf Ihr Blog wäre ich sehr dankbar!

Statt Stöckchen

Zurzeit werfen sich die von mir verfolgten Netzteilnehmer gegenseitig Knüppel zwischen die Beine, Verzeihung: Stöckchen. Wer eines fängt, ist aufgefordert, zwanzig Fakten über sich selbst aufzuschreiben und in seinem Blog zu veröffentlichen; was er dabei über sich preisgibt, entscheidet er selbst, es gibt keinerlei thematische Einschränkung. Ohne Ironie: ich mag das, lese es gerne, egal ob ich denjenigen kenne oder nicht, nach dem Lesen kenne ich ihn jedenfalls ein klein wenig besser. [Anmerkung: Ehe ich nun der Geschlechterdiskriminierung oder gar Frauenfeindlichkeit gescholten werde – vorstehendes bezieht sich selbstverständlich auf weibliche wie männliche Personen, aber meine Ausführungen sollen ja lesbar sein.]

Obschon mich bislang kein Stöcklein traf, so habe auch ich mich hingesetzt und in stiller Stunde 20 Tatsachen über mich selbst niedergeschrieben. Diese wollte ich heute meiner geneigten Leserschaft unaufgefordert anheim stellen, doch muss ich Sie leider vertrösten. Warum?

Am Samstag fiel mir nach längerer Zeit mal wieder die aktuelle Ausgabe der NEON in die Hände, welche den Weg in unseren Haushalt gefunden hatte. Auf die Titelseite war ein kleines Heftchen geklebt, welches dieses Mal nicht die übliche Ansammlung unnützen Wissens enthielt, sondern „99 Fragen, die sich jeder mal gestellt haben sollte“. Da ich nichts besseres zu tun hatte, stellte ich sie mir also, wie vorgeschlagen, und beantwortete sie sogleich. Hier das Ergebnis.

***

1) Wonach bist du süchtig?
Twitter. Also gut: Aufmerksamkeit.
2) Was wäre die erste Sache, die du tätest, wenn du unsichtbar wärst?

Bestimmten Menschen gehörig in den Arsch treten, ich wüsste da so einige.
3) Bilder oder Pflanzen im Büro?

Pflanzen. Zu denen muss man nicht erklären, wer oder was oder wo oder wann das ist / war.
4) Welche Stelle an deinem Körper würdest du gerne schön zaubern?

Meine Füße. Aber die lasse ich ja gerade auf herkömmlichem Wege begradigen. Ansonsten hätte ich nichts gegen mehr Haare auf Brust und Beinen.
5) Kennst du Menschen, die sofort mit dir ins Bett gehen würden?
Ja, und das ist immer noch ein beruhigendes Gefühl.
6) Wie oft googelst du dich?

Selten, weniger als einmal im Jahr. Da steht eh immer nur dasselbe uninteressante Zeug. Was mich eher beunruhigt: Wie oft googeln mich andere?
7) Warst du schon mal depressiv?

Stunden- oder tagelange Schwermut zählt wohl nicht. Also: nein. Und das ist gut so, es muss die Hölle sein.
8) Was ist das Peinlichtste, das man von dir im Netz findet?

Vermutlich Schwanzbilder. Obwohl es hässlichere gibt. Der eine oder andere Tweet ist rückblickend aus recht peinlich.
9) Glaubst du, dass die Zeit wirklich alle Wunden heilt?

Das ist eine Frage der Zeitspanne. Auf sehr lange Sicht ja.
10) Welchen Erziehungsspruch deiner Eltern willst du nie zu deinem Kind sagen?

„Nun iss, damit du was auf die Rippen kriegst.“
11) Wie viele Minuten am Tag schaust du auf dein Smartphone?
Zu viele. Aber verglichen mit vielen anderen eher wenig.
12) Meldest du dich auch einfach so bei deinen Eltern?

Jeden Sonntag. Sonst anlassbezogen.
13) Weißt du, wie deine Eltern sich kennengelernt haben?

Ich glaube, ja.
14) Was vermisst du, wenn du auf Reisen bist?
Das kommt auf die Reise an. Bin ich alleine auf Dienstreise, dann meinen Liebsten. Sind wir zusammen in Südfrankreich, dann nichts.
15) Was ist das Wort deiner Kindheit?
Rischenkrug. So hieß der Wohnort meiner mütterlichen Großeltern. Es war für mich das Paradies.
16) Wann hast du das letzte Mal ein Spiel gespielt?

Ich kann mich nicht erinnern. Muss sehr lange her sein.
17) Beschäftigst du dich mehr mit deiner Zukunft oder mit deiner Vergangenheit?
Mit der Vergangenheit. Vielleicht, weil ich keine großen Ziele mehr habe.
18) Welche Sprache würdest du gerne perfekt beherrschen?
Französisch. Immerhin, für die Bestellung von zwei Bier und den Kauf eines Baguettes reicht es. Für eine Unterhaltung leider nicht.
19) Gibst du dir im Urlaub Mühe, nicht als Tourist erkannt zu werden?

Nein. Das kann nur peinlich sein.
20) Gefällst du dir besser, wenn du betrunken bist?
Grundsätzlich nein. Das kommt auf die Situation und vor allem den Grad der Betrunkenheit an.
21) Trinkst du zu viel?
Leider ja.
22) Wovor musst du dich schützen?

Vor der Sonne am Strand. Aber wann bin ich schon mal am Strand.
23) Mit welchem befreundeten Paar hättest du gerne mal Sex?

Ich gebe zu, dass mich der Gedanke, mal mit einem anderen Paar Sex zu haben, sehr reizt. Und ja, ich wüsste auch ein bis drei, werde aber hier selbstverständlich keine Namen nennen.
24) Was ist dir peinlich?

Mein Buch „Aus den Augen – aus dem Sinn?“ – ein bisschen.
25) Was kannst du besser als alle anderen?

Vermutlich nichts. Es gibt in allem immer jemanden, der besser ist. Ach so doch: In unserem Chor kann ich vermutlich die höchsten Töne singen. Aber ob das besser ist…
26) Wann hast du das letzte Mal etwas Gutes für andere getan?

Freitag habe ich bei meiner Entlassung aus dem Krankenhaus den Stationsschwestern den noch gut erhaltenen Blumenstrauß geschenkt, den mir der Liebste mitgebracht hatte. Ich weiß, keine große Leistung, aber das war das letzte Mal. Und sie haben sich augenscheinlich darüber gefreut.
27) Und wann, ohne eine Gegenleistung zu erwarten?

Genau da. Die Gegenleistung hatte ich in Form sehr guter Betreuung bereits erhalten.
28) Willst du Kinder? Wenn ja, wie viele?

Nein, keine.
29) Hast du Angst vor grauen Haaren?

Nein. Ich habe bereits welche, und sie sind der allgemeinen Lebensqualität in keiner Weise abträglich. Ich habe eher Angst vor keinen Haaren.
30) Welchem Tier siehst du ähnlich? (Hier zeichnen)

Das sollen andere beurteilen. Aber ich möchte es nicht sehen, bitte!
31) Wofür bist du absolut nicht geeignet?

Da ließe sich einiges aufzählen. Spontan fallen mir ein: Fußball spielen, Gruppenreisen, Babysitten, Skiurlaub, Busfahrer.
32) Welches Geheimnis darf dein Partner nie herausfinden?

Er weiß, glaube ich, alles über mich. Und wenn es etwas gäbe, stünde es hier nicht.
33) Welche drei Dinge darf auch sonst niemand von dir wissen?

Meine Zugangsdaten zum Online-Banking, die PIN meiner ec-Karte und das Passwort zu meinem Twitter-Konto.
34) Warum, glaubst du, sind deine Freunde mit dir befreundet?

Weiß nicht. Jedenfalls nicht, weil ich mich intensiv um sie kümmerte.
35) Wie viel Ähnlichkeit hat den Facebook-Ich mit dir?

Nahe 100 Prozent, denke ich. Aber das ist ja immer so eine Sache mit Eigen- und Fremdwahrnehmung…
36) Was stört dich an deinem Partner am meisten?

Seine Neigung zur Entropie. Er weiß das.
37) Warum veröffentlichst du Dinge im Internet?

Das ist wohl Geltungsdrang.
38) Hast du ein echtes Hobby?

Ja, mehrere: Eisenbahn, singen und schreiben.
39) Welche Suchworte gibst du bei Youporn ein?

Mache ich selten. Erinnern kann ich mich an ,James Deen‘ und ,hairy‘. Bringt aber selten die gewünschten Ergebnisse.
40) In wessen Facebook-Postfach würdest du gerne ungestört lesen?

In keinem. Ich lese ja mein eigenes kaum. Im Gegensatz zu Twitter finde ich Facebook extrem langweilig.
41) Wann hattest du das letzte Mal einen Tag kein Internet?

Im Frankreich-Urlaub vor zwei Jahren, glaube ich. Dank einer recht günstigen Wochen-Flat der Telekom sind auch diese Zeiten inzwischen vorbei. Eigentlich schade.
42) Was ist deine Schokoladenseite? (vorne, hinten, rechts, links)

Seit der ersten Fuß-OP vorne-rechts.
43) Welche Dinge willst du besitzen, obwohl du sie dir leihen könntest?

Dazu fällt mir spontan nichts ein. Ich besitze alles, was ich brauche.
44) Woran solltest du mal sparen?

Mäßig witzige Tweets abzusondern.
45) Wen hast du bestohlen?

Im Kindergarten habe ich mal die Bahnschranke einer Holzeisenbahn mitgehen lassen. Grund: das Haus meiner Großeltern stand an einem beschrankten Bahnübergang. Träger des Kindergartens war die evangelische Kirche, um die Frage abschließend zu beantworten.
46) Was ist dein Wohlfühlgewicht?

Ich fühle mit meinen rund 70 Kilo sehr wohl.
47) Welche Teil deines Körpers findest du am lustigsten?

Lustig? Nein, da ist nichts. Sollen andere beantworten, aber ich möchte die Antwort nicht kennen.
48) Trägst du eine Frisur oder hast du einfach Haare auf dem Kopf?

Meistens versuche ich es mit einer Frisur. Im Urlaub und am Wochenende lasse ich es schon mal sein.
49) Was ist deine Lieblingsblume?

Die Sonnenblume.
50) Lebst du in der richtigen Stadt?

Zweifellos: ja.
51) Welche historische Person wärst du gerne für einen Tag?

Loriot.
52) Wirklich schon zu alt, um eine Band zu gründen?

Wenn ich singen darf: nein.
53) Wie viele Gerichte kannst du auswendig kochen?

Eins: Spaghetti mit roter Soße von Miracoli.
54) Kannst du ein Gedicht auswendig?

Ja, mehre von Heinz Erhardt und Eugen Roth. Hier zum Beispiel: „
Ein Mensch zertritt die Schnecke achtlos / Die Schnecke ist dagegen machtlos / Zu spät erst kann sie, im Zerknacken / den Menschen beim Gewissen packen.“
55) Auf einer Skala von 1 bis 10: Wie schlau bist du?

Höchstens 6.
56) Auf einer Skala von 1 bis 10: Wie lustig bist du?

6. Nein, war nur Spaß.
57) Auf einer Skala von 1 bis 10: Wie schön bist du?

Bei aller Bescheidenheit, für mein Alter mindestens 7.
58) Was ist dein Beitrag zur Verbesserung der Welt?

Die Vermeidung abgedroschener Phrasen und pseudokluger Anglizismen.
59) Hast du dich schon mal in jemanden verliebt, den du eigentlich nicht leiden konntest?

Nein. Kann man das?
60) Bist du manchmal mit Absicht anstrengend?

Nein. Wenn, dann kann ich nichts dafür.
61) Gibt es Menschen, die dich hassen?

Ich kenne keine. Aber man weiß nie.
62) Welche Menschen hasst du?

Hassen ist ein starkes Wort. Aber gegen manche Angehörige und Würdenträger bestimmter Religionsgemeinschaften empfinde ich schon eine tiefe Abneigung.
63) Was fehlt dir im Leben?

Nichts. Vielleicht etwas mehr Offenheit gegenüber neuem und fremdem.
64) Bist du ein Nörgler?

Manchmal, ja. Aber eher selten.
65) Geht dir alles zu schnell oder zu langsam?

Mal so, mal so. Zu schnell tendenziell öfter.
66) Welche Angst hält dich im Leben auf?

Keine. Das heißt nicht, dass ich furchtlos wäre, aber keine meiner Ängste hält mich auf.
67) Schließ die Augen und denk an was schönes. An was denkst du?


Eine anfahrende Dampflokomotive vor einem schweren Güterzug.
68) „Feuchtgebiete“ oder „Shades Of Grey“?

Beides noch nicht gelesen, beides interessant.
69) Hast du in deiner Jugend alle Dinge gemacht, die du machen wolltest?

Nein. Das hat wohl keiner, oder?
70) Wenn nicht, was hindert dich daran, sie jetzt zu machen?

Entweder habe ich sie später nachgeholt, oder das Interesse daran verloren.
71) Warum gehst du nicht fremd?

Wer sagt, dass ich es nicht tue?
72) Dein Flugzeug stürzt ab. Wem schreibst du die letzte SMS?

Dem Liebsten. Nachdem ich es getwittert habe.
73) Kannst du dir einen Krieg vorstellen, dem du zustimmen würdest?

Nein. Für mich ist nichts vorstellbar, das einen Krieg rechtfertigen würde.
74) Ab welchem Kontostand wirst du unruhig?

Sobald es ins Soll zu geraten droht.
75) Verstehst du wenigstens ungefähr, wie die Eurokrise entstanden ist?

Ja, aber nur ganz vage.
76) Wenn du an diese Krise denkst: Wovor genau hast du Angst?

Dass wir unsere Wohnung nicht mehr bezahlen können.
77) Warst du schon mal in Lebensgefahr?

Neulich im Phantasialand in der Colorado-Bahn. Jedenfalls fühlte sich das so an.
78) Für wen würdest du dein Leben riskieren?

Für den Liebsten.
79) Hast du die schönste Liebeserklärung deines Lebens wohl schon bekommen?

Ja, habe ich.
80) Wann hast du deinen Eltern das letzte Mal gesagt, dass du sie liebst?

Noch nie. Und so würde ich es auch nie sagen, ohne mir amerikanisch-dämlich vorzukommen.
81) Sortiere folgende Bereiche nach Wichtigkeit in deinem Leben:

1. Partnerschaft, 2. Familie, 3. Job, 4. Sex, 5. Hobbys, 6. Freunde
82) Welche Macke würdest du dir gerne abgewöhnen?

Im Beisein anderer den Rotz hochzuziehen.
83) Meldest du dich öfter bei deinen Freunden oder sie sich öfter bei dir?

Sie sich öfter bei mir, fürchte ich. Auch eine abgewöhnenswerte Macke.
84) Welche Sorgen hat dein/e beste/r Freund/in?

Die Gesundheit.
85) Weißt du seine/ihre Telefonnummer auswendig?

Nein.
86) Erinnerst du dich an deine erste Telefonnummer?

Ja: 0XX1-20 27 95.
87) Wen rufst du am häufigsten an?

Kollegen, dienstlich. Privat telefoniere ich sehr ungern.
88) Wen rufst du an, wenn es dir schlecht geht?

Niemanden.
89) Mit welchem Expartner würdest du jetzt am ehesten wieder ins Bett gehen?

Da es nur einen gibt…
90) Liebst du den Menschen, der neben dir im Bett liegt, wirklich, oder ist es nur schön, nicht alleine zu sein?

Ich liebe ihn wirklich, ohne jeden Zweifel.
91) Bist du besser darin, dich zu entschuldigen oder darin zu verzeihen?

Es fällt mir leichter, um Entschuldigung zu bitten. Man kann sich im übrigen nicht „entschuldigen“, nur der andere kann verzeihen.
92) Was ist dein Lebensmotto?

„Sei immer du selbst.“
93) Wie gut kennst du deine Nachbarn?

Manche recht gut, die meisten weniger.
94) Welches Verbrechen würdest du begehen, wenn garantiert wäre, dass es nie rauskommt?

Bei dämlich geparkten Autos die Reifen zerstechen oder den Lack zerkratzen. Ansonsten neige ich nicht zu Untaten.
95) Hast du schon mal deinen Chef kritisiert?

Ja, habe ich. Aber da war schon klar, dass ich die Abteilung wechseln werde.
96) Für was würdest du auf die Straße gehen?

Für die vollständige rechtliche Gleichstellung homosexueller Menschen. Und die konsequente Trennung von Staat und Kirche.
97) Kannst du dich wehren, wenn du körperlich angegriffen wirst?

Vermutlich nein. Zum Glück war das noch nie erforderlich.
98) Wie viele Menschen kämen auf deine Beerdigung?

Weiß nicht… vielleicht 50 bis 100.
99) Was ändert sich, wenn du stirbst?

Mittel- bis langfristig gar nichts.

***

Vielleicht hat ja der eine oder die andere auch Lust, diese Fragen für sich (oder uns?) zu beantworten. Die 20 Stöckchen-Fakten reiche ich dann spätestens nächste Woche nach, Sie wissen schon, 5 Euro und so…

Nachtrag vom 26.10.2013:
Wider Erwarten haben mehrere Menschen diese Liste bis zum Ende gelesen und mir Rückmeldung gegeben, vielen Dank dafür! Zwei haben sogar das Stöckchen ergriffen und selbst die Fragen beantwortet, was mich besonders freut:

Am Stock gehen…


http://thomass71.blog.de/2013/10/24/fragebogen-16669461/

Baustelle II

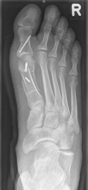
So, nun liege ich also hier, im St. Petrus-Krankenhaus zu Bonn, vor mir zwei Krücken (ja ich weiß, die Dinger heißen Unterarmgehstütze, aber es sagt ja auch kein Mensch ,Lichtzeichenverkehrsanlage‘), Jesus an der Wand – und der operierte Fuß, noch dick verbunden und mit einem gelblichen Zeug bepinselt, nur der Große Zeh und sein Nachbar schauen oben heraus. Dank einer besonderen Betäubung des rechten Beins verlief die Nacht ohne Probleme. Erst heute früh um kurz nach vier meldete er sich zurück, nicht direkt mit Schmerzen, eher mit einem Kribbeln, als ob er sagen wollte: „Hallo, da bin ich wieder!“ Morgen wird zum ersten Mal der Verband gewechselt, bin sehr gespannt, wie es geworden ist. Das erste Röntgenbild gestern sah schon sehr vielversprechend aus.

Das schlimmste gestern war das Warten: um sieben Uhr morgens sollte ich im Elisabeth-Krankenhaus erscheinen, dort wurde mir zunächst ein Bett in einem Dreibettzimmer zugewiesen. Die beiden anderen Herren schienen ganz nett, aber auf Konversation hatte ich nun wirklich keine Lust, und die ganze Zeit lief der Fernseher, erst Frühstücksfernsehen, dann irgendwelche blöden amerikanischen Serien; daher widmete ich mich Max Goldt in Buchform, das geht immer.

Gegen elf kam endlich die Aufforderung, mich auszuziehen und meine Klamotten gegen ein Netzhöschen und ein hinten offenes Engelskleidchen zu tauschen. Nach einer weiteren halben Stunde unangenehmen Wartens wurde ich dann mitsamt Bett in den OP-Bereich gerollt. Früher dachte ich, dieser Moment muss der Horror sein, aber als es so weit war, fand ich es gar nicht so schlimm. Lag vielleicht an der Tablette, die ich nach dem Umkleiden genommen hatte. Wie heißt das Zeug? Sollte ich mir für den Bürobedarf besorgen.

Im OP-Bereich waren sie sehr nett, so wie hier überhaupt alle ausgesprochen freundlich sind, dennoch schaffe ich es leider nicht, mir ihre Namen zu merken. Ich wurde – ohne das Engelshemdchen – auf die fahrbare OP-Liege verfrachtet, dann bekam ich eine Spinal-Anästhesie, d. h. mein Unterleib wurde komplett außer Betrieb genommen, das Bewusstsein hingegen blieb wach. Ich hatte mich bewusst gegen eine Vollnarkose entschieden.

Von der OP bekam ich dennoch nicht viel mit, weil sie zum Glück hinter einem Sichtschutz ablief, ab und zu mal eine gut gelaunte Stimme und das Sirren der kleinen Motorsäge. Die Kiefer-OP vor sechs Jahren war viel viel schlimmer, vor allem schmerzhafter, DAS war Horror. Nach gut einer Stunde wurde mir – wie einer Entbundenen das Baby – das besagte Röntgenbild überreicht. Dann wurde ich erst in den Aufwachraum gebracht, wo nach wenigen Minuten das linke Bein erwachte, danach zurück ins Zimmer.

Gegen vier nachmittags brachten mich zwei nette Jungs von Medicare hierher – immer noch in OP-Höschen und -Leibchen (also ich, nicht die Jungs). Ich habe hier ein schönes Einzelzimmer, fast fühlt es sich wie Urlaub an, käme nicht immer wieder eine nette Schwester herein, um Blutdruck und Temperatur zu messen. Oder was zu essen, die Zeitung oder einen Kaffee zu bringen. Außerdem habe ich Schokolade vom Liebsten, so gesehen doch wie Urlaub.

Tatsache ist, ich kann nicht viel machen außer hier zu liegen und zu lesen – was nun wirklich nicht das schlechteste ist -, oder fernzusehen, was ich auf das absolut notwendigste beschränke. Ein Gang aufs Klo ist schon eine richtige Anstrengung. Heute Nachmittag bekam ich einen Vorderfuß-Entlastungsschuh, den ich unter therapeutischer Anleitung ausprobierte, sogar mit Treppe. Ziemlich gewöhnungsbedürftig und nicht ganz schmerzfrei das ganze, aber so muss es (bzw. ich) erstmal gehen in den nächsten Wochen. Zum Vergleich: nach der Kiefer-OP konnte ich vier Monate lang nicht zubeißen aus Vorsicht, das Provisorium nicht zu zerlegen, das war viel schlimmer.

Es ist schon bemerkenswert, wie hilflos man ist, wenn einem so etwas elementares wie die Fähigkeit zum Laufen abhanden kommt, das macht man sich gar nicht oft genug klar. Aber das wird wieder, und im nächsten Frühjahr kommt der linke Fuß dran, ich habe es ihm versprochen.

Zufrieden betrachte ich mein Baby. Es geht uns gut.

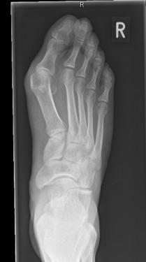
Vorher:
Rechts vorher

Nachher:
Rechts nachher